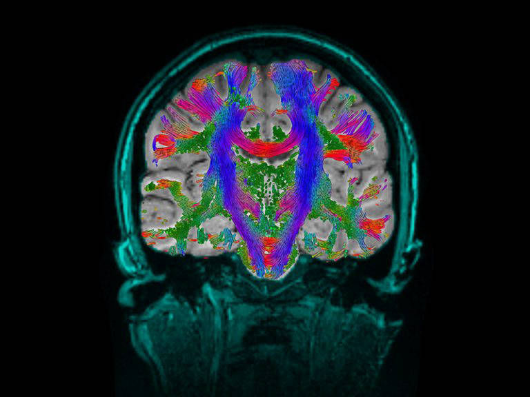
BrightMatter™ Guide

A powerful neurosurgical navigation platform featuring automatic data processing and 3D whole brain tractography.


BrightMatter™ Guide tracks your instruments and dynamically represents intersecting white matter tracts in real time. With this powerful intraoperative application of available data, you can accurately execute your planned approach and potentially avoid damage to tracts associated with key brain functions.